728x90
[885회] 혈압의 경고 1부_ 고혈압을 방치하는 당신에게 / 2023년 10월 25일 22:00 방송
혈압의 경고 1부_ 고혈압을 방치하는 당신에게방송일시: 2023. 10. 25(수) 밤 10시 KBS1TV연출 이승하 / 작가 유수진, 박지민‘침묵의 살인자’. 특별한 자각 증상이 없어 치명적인 손상에 이르고 나서
pbbs.kbs.co.kr
■ 방송시간 (방송사 사정에 따라 수시로 변경가능)
KBS 1TV 수요일 밤 10시 00분 본
KBS 2TV 일요일 새벽 5시 00분 재
KBS 1TV 화요일 오후 2시 10분 전재
■ 출연진 출연의료진 및 감상요약 :
- 삼성서울병원 순환기내과 성지동 교수
- 삼성서울병원 신경과 김형준 교수
- 서울아산병원 심장내과 김대희 교수
- 서울아산병원 이비인후과 유명상 교수
- 서울성모병원 순환기내과 정미향 교수
- 서울성모병원 순환기내과 윤종찬 교수
- 서울성모병원 안과 황보인 교수
- 윌스기념병원 수원 심혈관센터/심장내과 전문의 이승화 원장
- 한림대학교 성심병원 유방내분비외과 서용준 교수
- 혈압이란? 혈관내에 생기는 압력
심장이 수축해 혈액을 뿜어낼때를 수축기 혈압
심장이 커지며 혈액을 받아낼때를 이완기 혈압
고혈압 : 수축기 140, 이완기 90 이상 - 칼륨 신경의 흥분에 관여하는데 칼륨이 불안정하면 혈압조절이 어렵다.
부신에 종양이 있으면 칼륨대사가 안될 수 있음. - 혈압과 경동맥협착관계 : 혈압 10mmHg 이상 증가하는 경우 70%이상 경동맥협착이 발생할 확률 1.3배 증가
경동맥의 동맥경화를 일으킬 수 있는게 혈압,당뇨,고지혈증,나이,담배 5가지가 대표 혈압이 중요하다.
경동맥은 뇌로가는 80% 통과하는 혈관으로 경동맥협착이 뇌경색을 유발하며,
탈수와 같은 일시적인 몸의 변화가 뇌경색을 일으킬 수 있다. - 연령별 고혈압 인지율(출처:2022 고혈압 팩트시트) : 80세 이상 86.1%, 65세~71세 84.5%, 40~64세 66.9%, 20~39세 19%
- 고혈압성 망막병증 자연적 치유가 된다. 망막부종, 출혈, 삼출물 등은 시간이 지나면서 사라진다.
빛간섭단층촬영(OCT) 1년이 지나도 망막 외측 망막상피세포층, 시세포층 손상 시력회복이 완전히 되지 않을 수 있다. - 젊은층 고혈압의 원인은 비만, 특히 복부비만 3~5kg만 빼더라도 혈압관리가 용이하다
- 좌심실박출률 65% 정도가 정상임. 들어오는 피가 100%라고할때 짜주어서 나가는 양을 뜻함.
- 무호흡지수 : 시간당 5가 넘으면 무호흡으로 분류한다.
■ 유사한, 함께 보면 좋은 방송 :
- 생로병사의 비밀.E886.혈압의 경고 2부_ 혈압약이 먹기 싫은 당신에게.20231101
- 생로병사의 비밀.E838.혈압약 당뇨약 처방, 언제 업데이트 하셨나요.20221005
- 생로병사의 비밀.E817.콩팥을 위협하는 당신의 일상들.20220420
생로병사의 비밀.E791.고혈압과 당뇨는 왜 같이 오는가? 대사 증후군에 관한 보고서 20210915
생로병사의 비밀.E673.소리 없는 살인자, 고혈압.20181205
생로병사의 비밀.E568.고혈압에 대한 오해와 진실.20160120
생로병사의 비밀.E414.고혈압을 극복하다20120526
생로병사의 비밀.E021.고혈압에 관한 5가지 오해.20030506 - 명의.E828.230804.여름 특집 - 피가 끈적해진다! 여름 뇌졸중 명의소개(세브란스병원 신경과 남효석 교수, 서울대학교병원 신경과 정근화 교수)
- 명의.E825.230707.여름철 혈압이 무서운 진짜 이유 명의소개(이대서울병원 순환기내과 편욱범 교수)
- 명의.E797.221223.의사들도 잘 모르는 위험한 고혈압-폐고혈압 명의소개(세브란스 심장혈관병원 심장내과 장혁재 교수)
- 명의.E743.211203.돌연사의 씨앗, 젊은 고혈압 명의소개(세브란스 심장내과 박성하)
명의.E702.210212.아이고, 혈압이야-고혈압을 잡자! 명의소개(강북삼성 순환기내과 성기철)
명의.E669.200619.명의 스페셜 - 전격해부, 고혈압 명의소개(경희대 심장내과 김우식, 내분비대사내과 전숙, 서울대 노인병내과(순환기내과) 김철호, 한양대 심장내과 신진호, 삼성 순환기내과 권현철, 아산 신경외과 안재성)
명의.E639.191122.위험한 공존, 고혈압과 당뇨 명의소개(경희대 심장내과 김우식, 내분비내과 전숙)
명의.E602.190301.건강검진이 보내는 경고 - 고혈압 명의소개(서울 노인병내과(순환기내과)김철호, 한양 심장내과 신진호)
명의.E515.170609.들쑥날쑥 하는 혈압, 진짜 고혈압은 무엇인가 명의소개(삼성 순환기내과 성기철)
명의.E429.151009.국민 질병, 고혈압을 해부한다! 명의소개(서울대 순환기내과 김철호, 삼성 순환기내과 권현철,아산 신경외과 안재성)
명의.E256.120511.한국인의 성인병 – 고혈압 명의소개(부천세종 심장내과 노영무, 고대구로 순환기내과 박창규)
명의.E052.080411.한국인의 성인병 명의에게 묻다 - 제1부 고혈압 명의소개(부천세종 심장내과 노영무, 건국대 심장내과 황흥곤)
<감상평 끝>
KBS 생로병사의 비밀 885회
[혈압의 경고 1부_ 고혈압을 방치하는 당신에게 ]
방송 일시: 2023. 10. 25. (수) 밤 10시 KBS1TV
연출 이승하 / 작가 유수진, 박지민
‘침묵의 살인자’. 특별한 자각 증상이 없어 치명적인 손상에 이르고 나서야 알게 마련인 고혈압의 달갑지 않은 별명이다. 대한고혈압학회에 따르면, 국내 성인 인구의 고혈압 유병률은 30%에 달한다.
고혈압을 진단되면 혈압약이 처방된다. 이 시점에서 환자는 두 부류로 나뉜다. 기꺼이 혈압약을 먹는 사람, 그리고 어떤 명분으로든 먹지 않으려는 사람. 고혈압을 진단받은 사람이 혈압약을 먹지 않았을 때는 어떤 일이 벌어지는 것일까?
■ 혈압약, 먹고 싶지 않아요
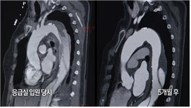
67세 서일윤 씨는 가슴이 찢어질 듯한 통증에 응급실로 향했다. 진단명은 대동맥 박리와 그에 따른 대동맥류. 높아진 혈압이 대동맥의 내벽을 찢어 혈액이 새는 무서운 병이다. 20년 전 고혈압을 진단받았지만, 처방받았던 약 복용을 게을리한 결과였다.
![]() |
![]() |
■ 젊어도 찾아온다, 고혈압
33세 김홍민 씨는 최근 급격히 체중이 증가하고, 다리가 부었다. 부은 곳을 손가락으로 누르면 1~2분 동안 다시 올라오지 않았다. 큰 걱정 없이 찾았던 병원의 진단은 중증 고혈압이었다. 혈압을 낮추는 치료를 시작하고 나서야 다리 부기가 빠졌고 체중도 30kg 감소했다.

20~30대 고혈압 환자의 질병 인지율은 약 20%. 젊은 고혈압 환자 10명 중 2명만이 자신의 상태에 대해서 알고 있다는 뜻이다. 젊은 층이 방치된 고혈압으로 인해 합병증 겪게 되는 주요한 이유이다.
“가자마자 일단 입원부터 하자고 했어요.” “최대 200mmHg까지 최고 혈압이 올라가 있더라고요. 그제야 혈압이 높은 걸 알게 됐죠. 따로 잴 일이 없잖아요. 솔직히. 내가 관심을 두지 않는 이상 혈압을 안 재니까요.” - 김홍민 씨
■ 약을 바로 먹었더라면
‘자연스럽게 괜찮아지겠지’라는 생각으로 고혈압을 방치한 정의교 씨. 약을 먹으면 자신이 고혈압 환자라는 사실을 인정하는 것만 같아 약 먹기를 미뤘다.
몸 이곳저곳이 아파 찾은 병원에서 콩팥에 문제가 생겼다는 소견을 들은 건 고혈압 약을 끊은 지 10년째 되는 날이었다. 높아진 혈압이 콩팥의 사구체를 훼손하여 10년간 기능을 저하해 왔던 것.
늦게라도 약을 먹기 시작했지만 이미 나빠진 신장을 예전으로 돌이키기는 쉽지 않았다.

“진작 약을 줬을 때 약을 처방받아서 먹는 걸 미리 했으면 이렇게까지 오지 않았을 텐데 후회는 좀 되더라고요.” - 정의교 씨
■ 혈압약, 끊을 수는 없는 걸까?
세간의 통념처럼, 혈압약은 한번 먹기 시작하면 평생토록 끊을 수 없는 것일까? 끊임없는 노력으로 혈압약의 의존에서 벗어난 이들이 있다. 43세 심장내과 전문의 이승화 씨가 그중 한명이다.

20대에 진단받은 고혈압, 혈압약 의존도를 낮추고 싶었던 이승화씨가 선택한 방법은 철저한 자기 관리였다. 매일 정해진 시간의 혈압 측정, 고강도 인터벌 운동 등 자기 몸의 ‘혈압 패턴’을 찾기 위한 노력을 게을리하지 않았다. 그 결과, 혈압약에서 벗어나 운동만으로 안정적으로 혈압을 관리하고 있다.
■ 조금 더 철저한 혈압 관리가 필요하다
매일 아침저녁으로 혈압을 측정하며 꼼꼼히 노트에 메모하는 박귀녀 씨. 그녀의 혈압 수치는 정상 범위 내 이지만, 병원에서는 더 낮은 수치를 목표로 제시한다. 그 이유는 무엇일까?
![]() |
![]() |
바로 소변에 단백질이 섞여 나오는 ‘미세단백뇨’ 수치가 높기 때문이다. 이 수치는 콩팥의 손상을 의미하는데, 몸속 혈압을 낮추는 것으로부터 그 치료가 시작된다. 박귀녀 씨가 지금보다 더 혈압을 낮춰야 하는 이유이다.

“무슨 병이 생겨서 어떻게 된 다음에 치료한다는 것은 일단 한발 늦은 겁니다. 그러면 삶의 질이 확 떨어져 버립니다. 그때부터 혈압 조절을 한다고 돌이킬 수 있는 문제가 전혀 아니거든요. 미리부터 괜찮을 때 조심하자 이게 분명히 맞다고 생각합니다.” - 삼성서울병원 순환기내과 성지동 교수
고혈압은 합병증이 생기기 전에는 별 증상이 나타나지 않는 경우가 대부분이다. 그렇다고 방치해버리면 뇌졸중, 심근경색, 고혈압성 망막증, 만성 콩팥병, 대동맥질환 등의 심각한 병을 유발할 수 있다. 진단받은 고혈압은 반드시 치료해야 한다는 생각을 잊어서는 안되는 이유가 여기에 있다.
25일 수요일 밤 10시 KBS1TV <생/로/병/사/의 비밀>에서 고혈압을 방치하면 일어나는 일들에 대해 알아본다.
728x90
반응형




댓글