728x90
[984회] AI의학혁명 1부. AI와 암 / 2026년 3월 11일 22:00 방송
<생로병사의 비밀> 984회 홍보문 AI의학혁명 1부. AI와 암* 방송일시 : 2026. 3. 11. (수) 밤 10시 KBS 1TV* 연출: 정갑수* 작가: 정진형인류의 끝나지 않는 공포로 남아 있는 암. 1950년대 첫 항암제가 등장
pbbs.kbs.co.kr
■ 방송시간 (방송사 사정에 따라 수시로 변경가능)
KBS 1TV 수요일 밤 10시 00분 본
KBS 2TV 일요일 새벽 5시 00분 재
KBS 1TV 화요일 오후 2시 10분 전재
■ 출연진 출연의료진 및 감상요약 :
- 화순전남대학교병원 이비인후과 이준규 교수
- 삼성서울병원 간담췌외과 한인웅 교수
- 신촌 세브란스병원 종양내과 라선영 교수 (대한암학회 이사장)
- 고려대학교 안암병원 종양내과 박경화 교수
- 고려대학교 안암병원 유방내분비외과 이은신 교수
- 고려대학교 안암병원 영상의학과 송성은 교수
- 고려대학교 안암병원 병리과 성유나 교수
- 서울아산병원 소화기내과 변정식 교수
- 고려대학교 안암병원 신경외과 강신혁 교수
- 가톨릭대학교 서울성모병원 내분비내과 이재경 교수
- 가톨릭대학교 서울성모병원 병리과 정찬권 교수
- 서울대학교 약학대학 이주용 교수
- 존스홉킨스대학 생명정보학 윤사중 겸임교수 (스탠포드대학 AI연구 방문교수, 미국 국립보건원 생명정보학 전문가)
- 존스홉킨스 암센터 암 화학 및 구조생물학 프로그램 공동 책임자 제임스 버거
- 존스홉킨스 블룸버그 키멀 암 면역치료 연구소 켈리앤 스미스 종양학 부교수
- 존스홉킨스 블룸버그 키멀 암 면역치료 연구소 연구원 린지
- 고려대학교 안암병원 수술실 책임 간호사 유슬기
- 고려대학교 안암병원 병리과 임상병리사 박건열
- 가톨릭대학교 서울성모병원 병리팀 병리사 임승진
- ==========================================
- 1950년대 최초항암제 등장
1970~1990년 수술,항암,방사선병합치료표준
2000년대 표적치료등장
2010년대 면역항암제 개발 - 2024년 노벨화학상 미국화학자 데이비드 베이커 구글 딥마인드 소속 데미스 허사비스, 존 점퍼
AI단백질 구조 예측 기술 - AI의료는 선택이 아닌 진화
- AI 수술후 합병증예측 : 폐렴,심장병,혈관문제,신장문제 발생가능한 합병증 확률 예측
- 췌장암의 20 20 법칙 : 췌장암 환자의 20% 수술가능, 수술환자중 20% 완치 췌장암 전체 100인 4가 완치 된다는 의미
10년전 30-30, 현재는 40-40 에 도달, 지금은 완치율 15%
수술전, 수술중, 수술후 모두 AI이용 맞춤치료를 하게된다면 80-80법칙 또는 90-90법칙이 되지 않을까? - AI는 의사의 정확한 판단을 돕는 보조역할
의사 개인에 따라 달라지는 지식과 경험의 차이 존재 => AI를 통해 그 차이와 한계를 극복
다학제 진료 : 외과, 종양내과,영상의학과 등 여러분야 전문의가 함께 논의해 최적의 치료를 결정하는 진료
AI를 이용해 영상진단속도가 정확도와 속도가 비약적으로 발전 - 유방촬영술 AI판독에서 놓친 침습성 유방암(출처:Radiology 2025) : AI유방촬영 선별 검사에서 전체암의 14%(1097건 중 154건)를 놓쳤다. 사람이 보면 잡을 수 있었던 암이 61%
100%신뢰할 수 없다. 놓치는 경우도 있고 위양성율도 체크해야한다. - 동결절편 검사 : 수술 중 떼어 낸 조직을 급속 냉동해 암 여부와 전이를 즉시 확인하는 검사
- AI대장내시경 선종발견율 30~40% 증가, 선종 간과율 15%이하로 감소
대장암 사망률 감소 효과(출처:Clinical Endoscopy 2025) : 선종발견율 1%증가마다 사망률 약 5% 감소 - 측방발육형종양 : 크기가 작은경우 잘 발견을 못한다.
인공지능이 아데노마(Adenoma전암성 병변) 식별률 높음 - 실시간AI영상 진단 : 레이저 신호를 분석해 수술 중 종양과 정상 조직을 즉시 구별하는 기술
수술시간이 길어지면 길어질수록 감염률이 높아진다. 문제가 생길 확률이 높아진다는 통계가 있다.
AI가 정상조직 손상 최소화시키는 역할을 할 것으로 기대한다. - 갑상선 세침흡인검사 : 미세한 바늘로 세포를 채취해 암을 확인하는 검사
- 고화질의 디지털 병리 이미지는 스캔되자마자 병원 디지털 병리 서버에 업로드되어서 그 이미지를 (의료진들이) 공유하면서 진료과정에 활용할 수 있다.
- 디지털병리 플랫폼 구축 사업 : 15개 대학과 5개 이상의 Ai 병리 전문 기업 참여
가톨릭대 서울성모병원, 전남대병원, 세종충남대병원, 연세대 용인세브란스병원, 고려대 안암병원, 가천대 길병원, 부산대병원
칠곡경북대병원,한양대병원,화순전남대병원,가톨릭대 성빈센트병원, 가톨릭관동대 국제성모병원, 가톨릭대 의정부성모병원, 아주대병원, 영남대병원 - 화순전남대병원 암진료 데이터를 통합 AI 기반 예후 예측과 신약 개발 플랫폼 구축 연구 진행
연세대세브란스병원 14개 주요 암종 디지털 병리 데이터를 기반으로 AI오픈플랫폼 구축 연구 진행
고려대안암병원 뇌수술중 남아 있는 암 조직을 AI(인공지능) 영상을 실시간 확인할 수 있는 플랫폼 구축 - 존스홉킨스메디슨 : 의과대학, 대학병원, 암.연구센터가 통합된 미국대표 의료기관
- 디지털 트윈 의학에 적용: 환자의 의료데이터를 모아 컴퓨터 속 똑같은 '가상 환자'를 만드는 기술
- 새로운 단백질을 설계할 수 있는 AI알고리즘을 개발
머신러닝으로 새로운 신약 후보 물질을 빠르게 설계하는 기술(출처: International Journal of Molecular Sciences 2021) : AI가 분자 구조정보(SMILE)만으로 단백질 결합력을 예측해 머신러닝 모델을 학습시켜 신약 후보 생성 속도를 높였다. 훨씬 적은 계산 과정으로 원하는 성질을 가진 새로운 신약 후보를 설계 할 수 있음을 확인.
무한대의 단백질과 백신후보를 분석하고 조합해 신약개발 성공확률 비약적으로 높아짐.
■ 유사한, 함께 보면 좋은 방송 :
- 생로병사의 비밀.E879.최첨단 보고 AI, 암에 맞서다.20230830 ■ 출연진 출연의료진 : 가천대길병원 소화기내과 박동균 교수 , 인피니트헬스케어 대표이사 김동욱, AI팀장 안충일 (인공지능 대장내시경 업체) , 한림대학교 춘천성심병원 소화기내과 방창석 교수 , 아이도트(AIDOT) 대표이사 정재훈 (인공지능 위내시경 개발업체) , 한림대학교 강남성심병원 성형외과 김성환 교수 , 아이피부과 한승석 피부과전문의 (IDerma 개발참여, 국제피부영샹협회(ISIC) 인공지능 분과 멤버) , 연세암병원 방사선종양학과 김용배 교수(부인암센터) , 연세암병원 방사선종양학과 김진성 교수 , 온코소프트(인공지능 방사선치료) 대표이사 , 연세암병원 종양내과 박지수 교수 , 삼성서울병원 영상의학과 한부경 교수 , 삼성서울병원 유방외과분과 유종한 교수 , 삼성메디슨 AI비전그룹 김한준 3D영상 파트장, 이해리스 연구원 , 차의과학대학교 강남차병원 외과 김유미 교수 , 베르티스 김성수 생산본부장(혈액 바이오마커 유방암, 췌장암, 난소암 선별 검사)
- 생로병사의 비밀.E869.최첨단 보고 의료 AI.20230517 ■ 출연진 출연의료진 : 세브란스병원 위장관외과 형우진 교수 (휴톰 대표이사) , 휴톰(의료AI RUS 혈관네비게이션) 최고기술경영자 이덕명 , 영남대병원 치과 박은영 교수 , 큐브세븐틴 김진수 대표 (치과보철물 AI와 3D스캐너, 디지털 덴티스트리) , 한림대동탄성심병원 비뇨의학과 이성호 교수 , 한림대학교 소프트웨어학부 김진 교수 , 인하대병원 심장내과 김대혁 교수 (딥카이오 대표이사) , 인하대 벤처 딥카이오 최원익대표 (정보통신공학과 교수), 김대혁 , 연세대 치과 대학병원 교정과 차정열 교수 , 라온피플(AI이용 치아교정 시뮬레이션 소프트웨어개발) 이석중대표 , 서울대학교병원 영상의학과 박창민 교수 , 서울대학교병원 영상의학과 구진모 교수 , 루닛(흉부 X-ray를 인공지능으로 분석하는 소프트웨어에 대한 인허가 받음, 백승욱 의장) 백성호 매니저, 서범석 대표 (카이스트 생명과학과, 서울대 의대, 연세대 보건학석사, 경희대 MBA) , 화성시 동탄보건소 만성질환관리센터 배성남 간호사 , 한림대동탄성심병원 안과 한재룡 교수 , 한림대동탄성심병원 순환기내과 한성우 교수 , 뷰노 (인공지능(AI) 헬스케어 솔루션 6유도 심전도 웨어러블 개발) 정경훈 사업팀장, 박성원 연구팀장 , 국립암센터 흉부외과 김문수 교수 , 국립암센터 영상의학과 김혜영 교수
- =====================================================================
- 인공지능 관련 명의 방송 찾을 수 없음
<감상평 끝>
KBS <생로병사의 비밀> 984회
[AI의학혁명 1부. AI와 암]
-
방송일시 : 2026. 03. 11. (수) 밤 10시 KBS 1TV
연출 : 정갑수
작가 : 정진형
인류의 끝나지 않는 공포로 남아 있는 암.
1950년대 첫 항암제가 등장한 이후
수십 년 동안 의학은 암과의 싸움을 이어왔다.
그리고 2000년대 표적치료제와 면역항암제의 등장으로
암 치료는 새로운 전환점을 맞았다.
하지만 암을 진단하고 치료하는 과정에서
의사는 여전히 인간의 경험과 판단에 의존할 수밖에 없다.
이 한계를 넘기 위해
의학에 들어온 새로운 기술, 인공지능 AI.
2024년, 노벨상까지 휩쓴 AI 기술은
의료 현장에도 거대한 변화를 일으키고 있다.
한국인에게 가장 흔한 유방암과 대장암,
그리고 낮은 생존율로 악명 높은 췌장암까지.
이제 암 치료에서
AI는 선택이 아닌 새로운 기준이 되고 있다.
췌장암 수술을 앞둔 70대 여성 환자.
AI는 환자의 방대한 의료 데이터를 분석해
수술 이후 발생할 수 있는 합병증과 위험 확률을 계산한다.
인간의 경험과 AI의 정밀한 분석이 만나는 순간.
암 치료의 미래가 조금씩 달라지고 있다.
2026년 월 24일 수요일 오후 10시, KBS 1TV <생로병사의 비밀>에서는
인공지능 AI가 불러오고 있는 의학 혁명, 암 치료의 현재와 미래를 만나봅니다.



■ 인공지능 AI 의학 혁명- 암 치료의 현재와 미래
서울의 한 병원 간담췌외과. 이곳에는 매일 췌장암 환자들이 찾아온다.
66세의 김정선 씨 역시 최근 건강검진에서 췌장암 진단을 받았다.
아무런 전조 증상도 없었기에 환자와 가족 모두 충격에 빠질 수밖에 없었는데.
특히 췌장암 수술을 외과 수술 중에서도 까다롭고 어려운 수술로 알려져 있다.
췌장 주변에는 위, 간, 십이지장, 비장, 대장 등 여러 장기가 밀집해 있고
주요 혈관들 또한 복잡하게 지나가기 때문이다.
전이가 빠를 뿐 아니라, 암 수술 중에서도 난이도가 높다.
그런데 최근, 이 수술에 새로운 변화가 생기고 있다. 바로 인공지능 AI
AI는 환자의 의료 데이터를 분석해 수술 이후 발생할 수 있는
합병증과 위험 확률을 예측한다.
그 결과를 토대로 의료진은 수술 전부터
치료 전략을 세울 수 있게 됐는데.
과연 AI는 췌장암 치료의 새로운 희망이 될 수 있을까.


비슷한 사례는 또 있다.
최근 유방암 진단을 받은 이수영(43세)씨.
가족력이 있어 정기적으로 검사를 받아온 덕분에 암을 조기에 발견할 수 있었다.
이수영 씨는 치료 성공률을 높이기 위해 한 병원에서 다학제 진료를 받고 있다.
환자의 수술 여부와 치료 방향을 결정하기 위해 여러 진료과 전문의들이
함께 논의하는 협진 시스템으로 이 과정에서도 인공지능 AI가 적극 활용되고 있다.
특히 AI 활용이 활발한 곳은 영상의학과.
숙련된 전문의도 놓칠 수 있었던 치밀 유방의 미세한 암 조직까지 AI가 찾아내고 있다.
몇 주 뒤. AI 진단과 다학제 협의를 거쳐 치료 방향이 결정된 환자의 수술 당일.
수술실에서는 예정된 계획만으로 진행되지 않아 더욱 긴장감을 높인다.
이때, 수술 중 진행되는 동결절편 검사 역시 AI가 활용되는 중요한 단계다.
암 조직은 제거하고 정상 조직은 최대한 보존해야 하는 검사로 정확성과
속도가 무엇보다 중요하다. 그렇게 30여 분 뒤...
다행히 암의 전이가 심하지 않아 유두 보존 수술이 가능해
유방암 제거 수술은 물론 성형외과의 재건 수술까지 무사히 마칠 수 있었다.


인공지능 AI가 예측과 진단을 넘어 이제 수술실로 들어왔다.
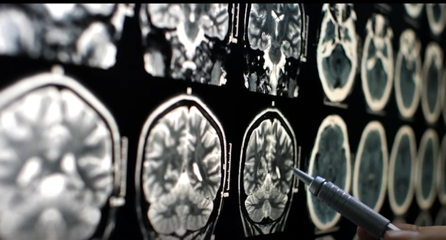
서울의 한 대학병원. 외과 수술 가운데에서도 고난이도로 손꼽히는 뇌 수술 현장이다.
특히 뇌종양 수술에서 의사의 고민은 깊어질 수밖에 없다는데
‘암 조직을 어디까지 제거할 것인가.’ 그리고 ‘정상 뇌 기능을 어디까지 지켜낼 것인가.’
종양만 정확히 제거하면 좋지만, 주변 조직까지 손상될 경우
심각한 후유증으로 이어질 수 있기 때문이다.
일반적으로는 환자의 뇌에서 종양을 제거하면 수술이 마무리된다.
하지만, 이 수술실에서는 또 하나의 장비가 수술대 위에 오른다.
바로 암 조직 여부를 실시간으로 확인하는 AI 장비.
정상 조직을 최대한 보존하기 위해 절제를 최소화한 만큼
주변에 남아 있는 암 조직이 없는지 다시 한번 확인하는 과정을 거친다.
레이저로 조직을 스캔하면 되돌아오는 반사 신호를 분석해
정상 조직과 종양 조직의 차이를 AI가 즉시 화면에 표시한다.
마지막 과정을 거친 후 뇌종양 수술은 성공적으로 마무리된다.
고려대학교 안암병원 신경외과 강신혁 교수는 “가장 중요한 것은 환자의 안전입니다.
수술 시간이 길어질수록 감염 위험이 높아지고 환자에게 문제가 생길 가능성도 커집니다.
정상 조직 손상을 최소화하는데 AI가 중요한 역할을 할 것으로 보고 있습니다.”라고 말했다.


■ AI 암 치료에서 세계 의학의 발전 수준은?
그렇다면 AI 암 치료에서 세계 의학의 발전은 어디까지 왔을까.
지난 2025년 11월 28일.
차세대 암 치료의 방향을 논의하는 국제 암 심포지엄이 국내 한 대학에서 열렸다.
이 자리에는 미국의 명문 의과대학 존스홉킨스대학의
윤사중 교수가 참여해 눈길을 끌었다.
존스홉킨스대학은 존스홉킨스 메디슨이라는 통합 의료기관을 중심으로
AI 의학 분야에서 전 세계를 선도하고 있는 곳이다.
특히, 암 연구에서 AI는 종양 세포의 유전자를 분석해 암의 약점을 찾아내고,
이를 바탕으로 차세대 치료제를 설계하여 암의 성장을 억제하여, 궁극적으로
완치를 목표로 하는 연구에 앞장서고 있다.
이 기술을 활용하면, 단 하루 만에도 종양의 활동성을 파악할 수 있을 정도로
암 연구가 활발히 이루어지고 있다.
존스홉킨스 대학의 윤 교수의 연구 분야는 바로 ‘디지털 트윈 의료’.
디지털 트윈은 환자의 몸을 대신하하는 AI의 가상 인체 모델로,
AI로 약물 반응을 먼저 확인해 환자에게 효과적인 치료법을 미리 예측할 수 있는 기술이다.
특히 암 치료에서 내 몸에 잘 듣는 약과 그렇지 않은 약을 사전에 확인할 수 있어
개인 맞춤 치료에 도움이 된다.
환자의 데이터를 기반으로 치료 결과를 미리 예측하는 디지털 트윈 기술.
이제 이 기술은 개인 맞춤형 암 치료를 가능하게 하는
미래 의료 기술로 발전하고 있다.
2026년 3월 10일 수요일 오후 10시, KBS 1TV <생로병사의 비밀>에서는
인공지능 AI가 불러오고 있는 의학 혁명
암 치료의 현재와 미래를 살펴봅니다.
728x90
반응형
댓글